Caldwell Crowns and Bridges
Porcelain Crowns
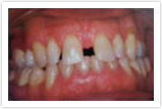
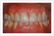
Applied Procedures: Porcelain Crowns
P9962_ss4642bs_t P9962_ss4642ys_t
Before Photo After Photo
Applied Procedures: Porcelain Crowns
P9962_ss4643bs_t P9962_ss4643ys_t
Before Photo After Photo
Applied Procedures: Porcelain Crowns, Dental Bridges
P9962_ss4644bs_t P9962_ss4644ys_t
Before Photo After Photo